U današnjem članku vam pišemo na temu kako se možete rešiti zubnog kamenca koristeći prirodne sastojke koje već imate u svom domu. Saznajte…
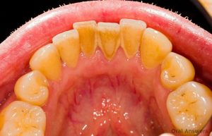
Kamenac na zubima može uzrokovati brojne zdravstvene probleme, ali dobra vijest je da postoji mnogo jednostavnih i jeftinih načina da ga eliminirate i očuvate zdravlje svojih zuba.
Kamenac nastaje kada plak na zubima, koji je posledica ostataka hrane, bakterija i sluzi, postepeno postaje mineralizovan.

Ako se ne ukloni na vreme, može izazvati bolesti desni, gubitak zuba i druge ozbiljne probleme. Osim što loša oralna higijena može doprineti njegovom nastanku, faktori kao što su pušenje, konzumacija kafe, gaziranih pića i visok unos šećera igraju ključnu ulogu. Srećom, uz pravu negu i nekoliko jednostavnih prirodnih metoda, možete sprečiti nakupljanje kamenca i održati svoje zube zdravima.
- Jedan od najjednostavnijih i najefikasnijih načina za uklanjanje kamenca je korišćenje paste koju možete napraviti kod kuće. Potrebno vam je samo nekoliko sastojaka: jedna kašika zubne paste, dve kašike sode bikarbone, dve kašike mineralne vode i jedna kašika obične vode. Kada pomešate ove sastojke, dobićete pastu koja vam može pomoći u uklanjanju mrlja i smanjenju nakupljanja kamenca. Preporučuje se da pranje zuba ovom smesom traje oko četiri minuta, a procedura bi trebalo da se ponovi jednom nedeljno tokom meseca. Soda bikarbona je prirodni abraziv koji pomaže u čišćenju zuba, dok mineralna voda daje osvežavajući efekat i pomaže u održavanju zdravlja desni.
Pored ovoga, još jedan odličan saveznik u borbi protiv kamenca je kokosovo ulje. Ovaj prirodni proizvod je poznat po svojim antibakterijskim svojstvima, zbog kojih je idealan za održavanje oralne higijene. Metoda poznata kao “oil pulling” podrazumeva da uzmete dve kašičice kokosovog ulja, mućkate ga u ustima nekoliko minuta, a zatim ispljunete i isperete usta vodom. Ovaj proces ne samo da izbjeljuje zube, već i poboljšava zdravlje desni, uklanja štetne bakterije iz usne šupljine i smanjuje nakupljanje plaka.

- Za one koji žele prirodno izbjeljivanje, jagode mogu biti vrlo korisne. Ovaj plod sadrži voćnu kiselinu koja prirodno izbjeljuje zube, a takođe može pomoći u smanjenju upale desni. Samo zgnječite jagode, nanesite ih na četkicu za zube i trljajte zube nekoliko minuta. Takođe, kora banane se pokazala korisnom u održavanju zdravlja desni i izbjeljivanju zuba. Nježno masirajte desni i zube korom od banane, ostavite da deluje nekoliko minuta, a zatim operite zube kao obično.
Međutim, važno je napomenuti da i prirodni sastojci mogu imati svoje neželjene efekte ako se koriste prekomerno. Na primer, prečesta upotreba sode bikarbone može oštetiti zubnu caklinu. Zbog toga je umjerenost ključna. Takođe, redovno korišćenje zubnog konca i posete stomatologu mogu sprečiti nastanak kamenca i očuvati zdravlje vaših zuba na duže staze.

Vitamin D i kalcijum igraju važnu ulogu u izgradnji jakih zuba, pa je važno obratiti pažnju na ishranu koja uključuje ove hranljive materije. Pravilna ishrana, bogata vlaknima i mineralima, zajedno sa prirodnim metodama, može vam pomoći da zubi ostanu zdravi i bez kamenca. Redovne posete stomatologu, kao i profesionalno čišćenje zuba, takođe su neophodni kako bi se uklonio kamenac koji nije moguće ukloniti kod kuće.
- Zaključak je da prirodni načini za uklanjanje kamenca mogu biti vrlo efikasni ako se koriste sa pažnjom. Sastojci kao što su kokosovo ulje, soda bikarbona, jagode i kora banane mogu pomoći u održavanju zdravlja zuba i desni, a povremeni odlasci kod stomatologa i pravilna higijena osiguravaju dugoročne rezultate. Uvek je važno pratiti stanje svojih zuba i reagovati na vreme kako bi se sprečili ozbiljniji problemi u budućnost














